Dental Implants
Dental implants are now considered the gold standard in tooth replacement. It is the only system available that replaces both your tooth and its valuable root.
When you replace your tooth’s root, it may help prevent jawbone deterioration, which is a common problem associated with tooth loss. Your implant may stimulate this bone to keep it viable.
Dr Patrick Rourke places dental implants at Orange Family Dental. He is a Fellow of the International Congress of Oral Implantologists which was achieved in 2019 and places dental implants using a full digital protocol.
The Dental Implant Process
Step One - Planning
The first stage of the implant process is planning. Dr Rourke will take xrays and 3D imaging to assess the density and exact proportions of your jaw bone. He will then plan for the type and size of implant to be placed, with precise guides in place to ensure correct orientation and angulationi at placement.
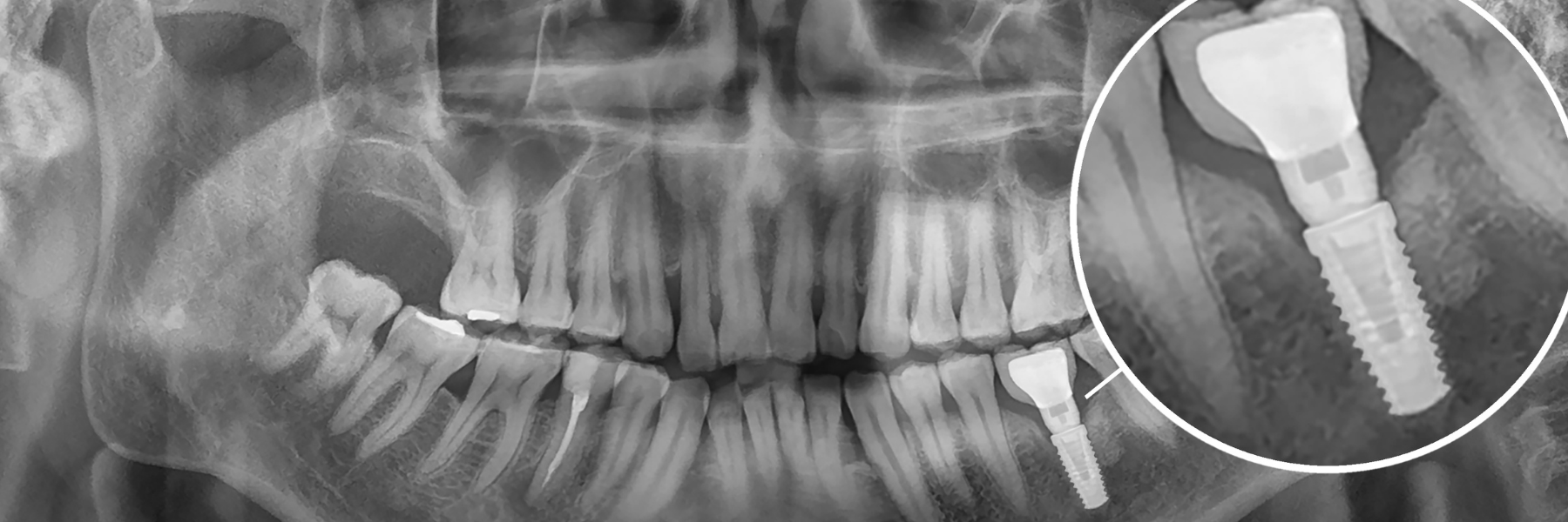
Step Two – Placement of your Implant
The placement of your implant will take place in our rooms under local anaesthetic. In some cases bone grafting may be required to build up the bone at the site where the implant will be placed. Dr Rourke will give you detailed post op instructions for home care after your procedure, as well as prescriptions for any medications you'll need to take.
Step Three– Healing and Integration
The healing process is an important step in the dental implant procedure so that the implant can support the load from chewing. During this integration process, your jaw bone will grow into the threads of the implant and secure it firmly in place.
Healing and integration usually takes about 3 months.
Dr Rourke will review your implant at this stage to confirm that everything has healed well and that bony integration has occurred successfully. The implant will be tested to ensure it is ready to take the force of chewing.
Step Four – Dental Implant Crown
Once it has been confirmed that your implant has integrated fully and the surrounding bone is healthy, you will return for the final stage, which is securing a new crown over the implant. The crown replaces your tooth and restores the chewing surface. Each crown is a custom-designed restoration to fit and function like a natural tooth. The final step actually takes place over 2 appointments. At the first appointment, we will take another 3D scan of your jaw, this time with the implant as a reference point so our laboratory technician can fabricate the perfect crown for you. Approximately 3 weeks after the scan, you return for your final visit to have your tooth placed. The crown is always tried in first before being secured permanently. Once we're all happy with the final result, the crown is then secured over the implant.

Caring for Your Dental Implant
One of the many benefits of dental implants is that you care for them just like natural teeth. A good home care routine that includes proper brushing and flossing combined with professional exams and cleanings in our dental practice.